Interstitial Lung Disease in Rheumatoid Arthritis: A Clinical Dilemma
DOI:
https://doi.org/10.2218/resmedica.v22i1.732Keywords:
Rheumatoid Arthritis, Methotrexate, Antirheumatic Agents, Interstitial Lung Disease, PneumonitisAbstract
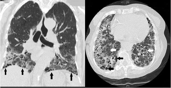
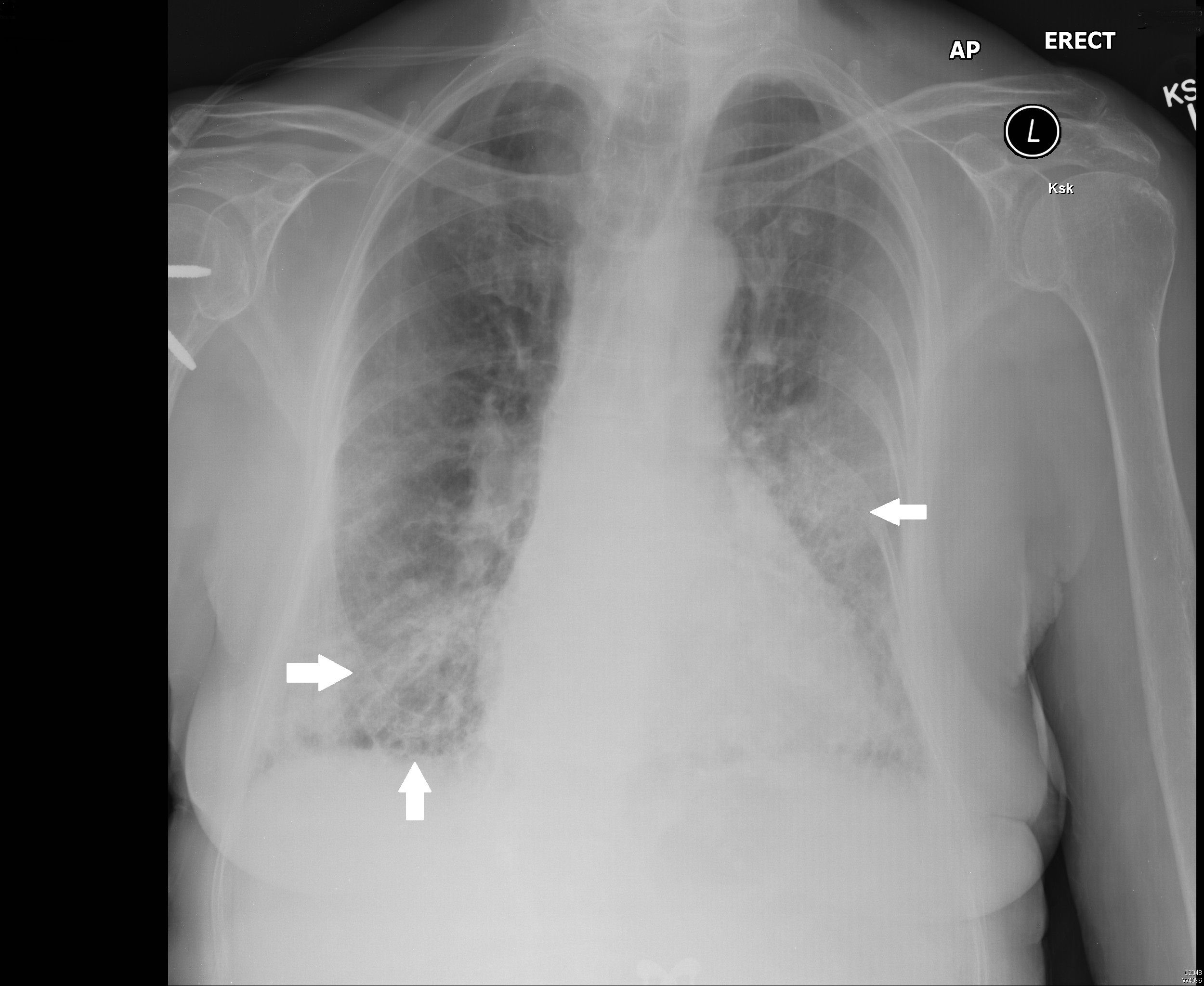
Rheumatoid arthritis (RA)–associated interstitial lung disease (RA-ILD) is an increasingly common extra-articular cause of mortality and morbidity in RA. Here, we present the case of an 82-year-old female suffering from RA-ILD. She presented with a 20-year history of RA with new-onset progressively worsening dyspnoea, pyrexia, and dry cough, which were not responsive to initial antibiotics. Moreover, she had been on long-term methotrexate, which can cause pulmonary disease. Investigations revealed raised inflammatory markers, restrictive lung patterns, and radiological features of ILD. She was treated with a tapering course of oral prednisolone and home oxygen, which provided some symptomatic improvement. Diagnosis of RA-ILD can be challenging due to several contributing factors. Optimal treatment is controversial, and corticosteroids have been widely used but with limited effects. There is evidence directed at potential therapeutic benefit from a number of newer agents, which are discussed.
Downloads
References
References List
Gabbay E, Tarala R, Will R, Carroll G, Adler B, Cameron D, et al. Interstitial lung disease in recent onset rheumatoid arthritis. Am J Respir Crit Care Med. 1997 Aug;156(2 pt 1):528-35. DOI: 10.1164/ajrccm.156.2.9609016.
Turesson C, O’Fallon WM, Crowson CS, Gabriel SE, Matteson EL. Extra-articular disease manifestations in rheumatoid arthritis: incidence trends and risk factors over 46 years. Ann Rheum Dis. 2003 Aug;62(8):722-27. DOI: 10.1136/ard.62.8.722.
Young A, Koduri, Batley M, Kulinskaya E, Gough A, Norton S, et al. Mortality in rheumatoid arthritis. Increased in the early course of disease, in ischaemic heart disease and in pulmonary fibrosis. Rheumatology (Oxford). 2007 Feb;46(2):350-7. DOI: 10.1093/rheumatology/kel253.
McDonagh J, Greaves M, Wright AR, Heycock C, Owen JP, Kelly C. High resolution computed tomography of the lungs in patients with rheumatoid arthritis and interstitial lung disease. Br J Rheumatol. 1994 Feb;33(2):118-22. DOI: 10.1093/rheumatology/33.2.118.
Gochuico BR, Avila NA, Chow CK, Novero LJ, Wu HP, Ren P, et al. Progressive preclinical interstitial lung disease in rheumatoid arthritis. Arch Intern Med. 2008 Jan 28;168(2);159-66. DOI: 10.1001/archinternmed.2007.59.
Linn-Rasker SP, van der Helm-van Mil AH, van Gaalen FA, Kloppenburg M, de Vries RR, le Cessie S, et al. Smoking is a risk factor for anti-CCP antibodies only in rheumatoid arthritis patients who carry HLA-DRB1 shared epitope alleles. Ann Rheum Dis. 2006 Mar;65(3):366-71. DOI: 10.1136/ard.2005.041079.
Weyand CM, Schimdt D, Wagner U, Goronzy JJ. The influence of sex on the phenotype of rheumatoid arthritis. Arthritis Rheum. 1998 May;41(5),817-22. DOI: 10.1002/1529-0131(199805)41:5<817::AID-ART7>3.0.CO;2-S.
Turesson C, Jacobsson LTH. Epidemiology of extra-articular manifestations in rheumatoid arthritis. Scand J Rheumatol. 2004;33(2):65-72. DOI: 10.1080/03009740310004621.
Sugiyama Y, Ohmo S, Kano S, Maeda H, Kitamura S. Diffuse panbronchiolitis and rheumatoid arthritis: a possible correlation with HLA-B54. Intern Med. 1994;33(10):612-4. DOI: 10.2169/internalmedicine.33.612.
Charles PJ, Sweatman MC, Marckwick JR, Maini RN. HLA-B40: a marker for susceptibility to lung disease in rheumatoid arthritis. Dis Markers. 1991 Mar-Apr;9(2):97-101.
Alexiou I, Germenis A, Koutroumpas A, Kontogianni A, Theodoriou K, Sakkas LI. Anti-cyclic citrullinated peptide-2 (CCP2) autoantibodies and extra-articular manifestations in Greek patients with rheumatoid arthritis. Clin Rheumatol. 2008 Apr;27(4):511-3. DOI: 10.1007/s10067-007-0800-1.
Nannini C, Ryu JH, Matteson EL. Lung disease in rheumatoid arthritis. Curr Opin Rheumatol. 2008 May;20(3):340-6. DOI: 10.1097/BOR.0b013e3282f798ed.
Inui N, Enomoto N, Suda T, Kageyama Y, Watanabe H, Chida K. Anti-cyclic citrullinated peptide antibodies in lung diseases associated with rheumatoid arthritis. Clin Biochem. 2008 Sep;41(13):1074-7. DOI: 10.1016/j.clinbiochem.2008.06.014.
McLean-Tooke A, Aldridge C, Waugh S, Spickett GP, Kay L. Methotrexate, rheumatoid arthritis and infection risk—what is the evidence? Rheumatology (Oxford). 2009 Aug;48(8):867-71. DOI: 10.1093/rheumatology/kep101.
Jakubovic BD, Donovan A, Webster PM, Shear NH. Methotrexate-induced pulmonary toxicity. Can Respir J. 2013 May-Jun;20(3):153-5.
Saravanan V, Kelly CA. Reducing the risk of methotrexate pneumonitis in rheumatoid arthritis. Rheumatology (Oxford). 2004 Feb;43(2):143-7. DOI: 10.1093/rheumatology/keg466.
Kremer JM, Alarcón GS, Weinblatt ME, Kaymakcian MV, Macaluso M, Cannon GW, et al. Clinical, laboratory, radiographic, and histopathologic features of methotrexate-associated lung injury in patients with rheumatoid arthritis: a multicenter study with literature review. Arthritis Rheum. 1997 Oct;40(10):1829-37. DOI: 10.1002/art.1780401016.
Kelly C, Saravanan V. Treatment strategies for a rheumatoid arthritis patient with interstitial lung disease. Expert Opin Pharmacother. 2008 Dec;9(18):3221-30. DOI: 10.1517/14656560802591430.
Gaffo AL, Alarcón GS. Methotrexate is not associated with progression of interstitial lung disease in rheumatoid arthritis. Arch Intern Med. 2008 Sep 22;168(17):1927-8. DOI: 10.1001/archinte.168.17.1927.
Hamblin MJ, Horton MR. Rheumatoid arthritis-associated interstitial lung disease: diagnostic dilemma. Pulm Med. 2011;2011:872120. DOI: 10.1155/2011/872120.
Lake F, Proudman S, Rheumatoid arthritis and lung disease: from mechanism to a practical approach. Semin Respir Crit Care Med. 2014 Apr;35(2):222-38. DOI: 10.1055/s-0034-1371542.
Searles G, McKendry RJ. Methotrexate pneumonitis in rheumatoid arthritis: potential risk factors. J Rheumatol. 1987 Dec;14(6):1164-71.
Bradley B, Branley HM, Egan JJ, Greaves MS, Hansell DM, Harrison NK, et al. Interstitial lung disease guideline: The British Thoracic Society in collaboration with the Thoracic Society of Australia and New Zealand and the Irish Thoracic Society. Thorax. 2008;63 Suppl 5:v1-58. DOI: 10.1136/thx.2008.101691.
Sathi N, Urwin T, Desmond S, Dawson JK. Patients with limited rheumatoid arthritis-related interstitial lung disease have a better prognosis than those with extensive disease. Rheumatology. 2011 Mar;50(3) 620. DOI:10.1093/rheumatology/keq426.
Goh NS, Desai SR, Veeraraghavan S, Hansell DM, Copley SJ, Maher TM, et al. Interstitial lung disease in systemic sclerosis: a simple staging system. Am J Respir Crit Care Med. 2008 Jun 1;177(11):1248-54. DOI: 10.1164/rccm.200706-877OC.
Tanaka N, Kim JS, Newell JD, Brown KK, Cool CD, Meehan R, et al. Rheumatoid arthritis-related lung diseases: CT findings. Radiology. 2004 Jul;232(1):81-91. DOI: 10.1148/radiol.2321030174.
Akira M, Sakatani M, Hara H. Thin-section CT findings in rheumatoid arthritis associated lung disease: CT patterns and their courses. J Comput Assist Tomogr. 1999 Nov-Dec;23(6):941-8. DOI: 10.1097/00004728-199911000-00021.
White ES, Tazelaar HD, Lynch JP 3rd. Bronchiolar complications of connective tissue diseases. Semin Respir Crit Care Med. 2003 Oct;24(5):543-66. DOI: 10.1055/s-2004-815603.
Ooi A, Ivenger S, Ferguson J, Ritchie AJ. VATS lung biopsy in suspected, diffuse interstitial lung disease provides, and alters management strategies. Heart Lung Circ. 2005 Jun;14(2):90-2. DOI: 10.1016/j.hlc.2005.01.002
Imokawa S, Colby TV, Leslie KO, Helmers RA. Methotrexate pneumonitis: review of the literature and histopathological findings in nine patients. Eur Respir J. 2000 Feb;15(2):373-81. DOI: 10.1034/j.1399-3003.2000.15b25.x
Selman M. Hypersensitivity pneumonitis: a multifaceted deceiving disorder. Clin Chest Med. 2004 Sep;25(3):531-47. DOI:10.1016/j.ccm.2004.04.001.
Yi ES. Hypersensitivity pneumonitis. Crit Rev Clin Lab Sci. 2002 Nov;39(6):581-629. DOI: 10.1080/10408360290795583.
Glazer CS, Rose CS, Lynch DA. Clinical and radiologic manifestations of hypersensitivity pneumonitis. J Thorac Imaging. 2002 Oct;17(4):261-72. DOI: 10.1097/00005382-200210000-00003.
Rajasekaran A, Shovlin D, Saravanan V, Lord P, Kelly C. Interstitial lung disease in patients with rheumatoid arthritis: comparison with cryptogenic fibrosing alveolitis over 5 years. J Rheumatol. 2006 Jul;33(7):1250-3.
Nanki N, Fujita J, Yamaji Y, Maeda H, Kurose T, Kaji M, et al. Nonspecific interstitial pneumonia/fibrosis completely recovered by adding cyclophosphamide to corticosteroids. Intern Med. 2002 Oct;41(10):867-70. DOI: 10.2169/internalmedicine.41.867.
Chang HK, Park W, Ryu DS. Successful treatment of progressive rheumatoid interstitial lung disease with cyclosporine: a case report. J Korean Med Sci. 2002 Apr;17(2):270-3. DOI: 10.3346/jkms.2002.17.2.270.
Puttick MP, Klinkhoff AV, Chalmers A, Ostrow DN. Treatment of progressive rheumatoid interstitial lung disease with cyclosporine. J Rheumatol. 1995 Nov;22(11):2163-5.
Suwa A, Hirakata M, Satoh S, Mimori T, Utsumi K, Inada S. Rheumatoid arthritis associated with methotrexate-induced pneumonitis: improvement with i.v. cyclophosphamide therapy. Clin Exp Rheumatol. 1999 May-Jun;17(3):355-8.
Malik S, Saravanan V, Kelly C. Interstitial lung disease in rheumatoid arthritis: an update on diagnosis and management. Int J Clin Rheumatol. 2012 Aug 6;7(3):297-308. DOI: 10.2217/IJR.12.24.
Travis WD, Hunninghake G, King TE Jr, Lynch DA, Colby TV, Galvin JR, et al. Idiopathic nonspecific interstitial pneumonia: report of an American Thoracic Society project. Am J Respir Crit Care Med. 2008 Jun 15; 77(12):1338-47. DOI: 10.1164/rccm.200611-1685OC.
Hakala M. Poor prognoses in patients with rheumatoid arthritis hospitalized for interstitial lung fibrosis. Chest. 1988;93(1):114-8. DOI: 10.1378/chest.93.1.114.
Kim EJ, Collard HR, King TE Jr. Rheumatoid arthritis-associated interstitial lung disease: the relevance of histopathologic and radiographic pattern. Chest. 2009 Nov;136(5):1397-405. DOI: 10.1378/chest.09-0444.
Lee HK, Kim DS, Yoo B, Seo JB, Rho JY, Colby TV, et al. Histopathologic pattern and clinical features of rheumatoid arthritis-associated interstitial lung disease. Chest. 2005 Jun;127(6):2019-27. DOI: 10.1378/chest.127.6.2019.
Kim EJ, Elicker BM, Maldonado F, Webb WR, Ryu JH, Van Uden JH, et al. Usual interstitial pneumonia in rheumatoid arthritis-associated interstitial lung disease. Eur Respir J. 2010 Jun;35(6):1322-8. DOI: 10.1183/09031936.00092309.
Yoo JW, Song JW, Jang SJ, Lee CK, Kim MY, Lee HK, et al. Comparison between cryptogenic organizing pneumonia and connective tissue disease-related organizing pneumonia. Rheumatology (Oxford). 2011 May;50(5):932-8. DOI: 10.1093/rheumatology/keq410.





